欠けた前歯をコンポジットレジンで自然に修復した症例
欠けた前歯をコンポジットレジンで自然に修復した症例
こちらの患者様は「前歯の欠けが気になって笑うことに抵抗がある」とのことでご来院されました。
小学生の頃に転倒して前歯が欠けてしまい、当時修復を受けた箇所が年月の経過とともに再び欠けてしまったとのことでした。インターネットで「審美的な修復が得意そうな歯科医院」を検索され、当院のホームページをご覧になって来院されたそうです。
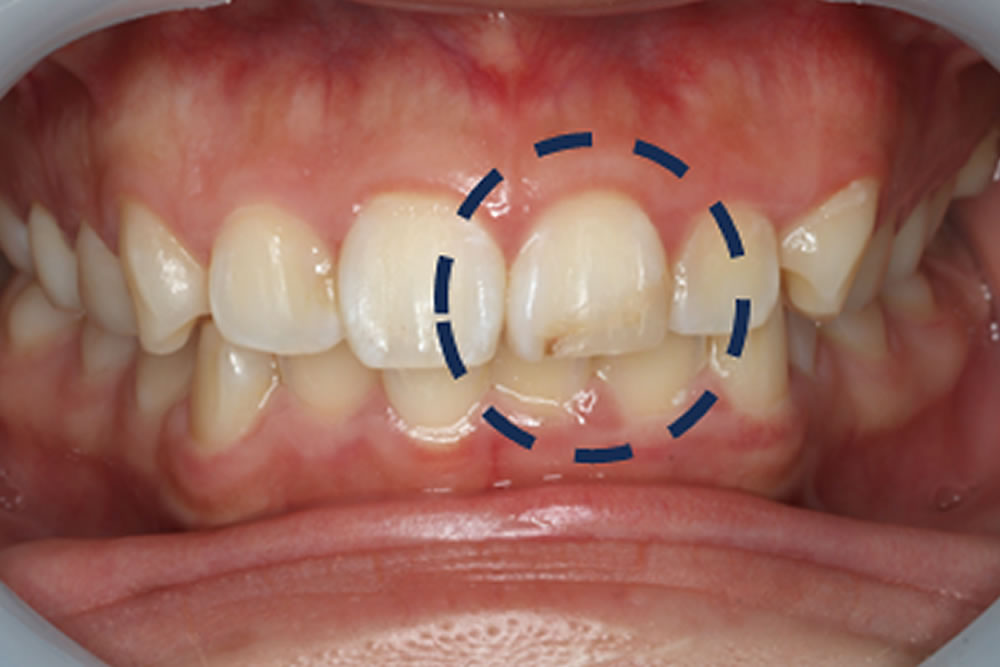
初診時には、左上前歯(1番)の先端部分が欠けており、見た目の違和感が目立つ状態でした。
患者様は「とにかく自然で違和感のない見た目にしてほしい」と希望されていました。
特に前歯は会話や笑顔の際に最も視線が集まる部位であり、自然さを再現することが治療の大きなポイントとなります。
治療方針と内容
まず、以前修復されていた古いレジン(CR)をすべて除去し、下の歯質がむし歯になっていないか慎重に確認しました。
歯の内部を清掃・整形したうえで、新たにコンポジットレジンによる修復を行いました。前歯の切縁は非常に繊細な部位であり、透明感や色のグラデーションをいかに再現できるかが審美性を大きく左右します。
歯は表面から「エナメル質」「象牙質」「歯髄(しずい)」の3層構造になっており、エナメル質は透明感のあるガラスのような質感、象牙質はやや黄みを帯びた色味をしています。
これを再現するために、内部にはやや濃い色のCRを、表層部には透明感のある明るいCRを使用し、何層にも分けて積層充填(せきそうじゅうてん)を行いました。層を重ねながら微妙な色の差を表現し、自然な光の透過性を持つ前歯の質感に近づけるよう丁寧に仕上げました。
さらに、切縁部は下の前歯と直接噛み合うため、咬み合わせの力が集中しやすく、再び欠けてしまうリスクがあります。そのため、修復後は咬合紙を用いて噛み合わせのバランスを細かく確認し、わずかな高低差も調整しました。
治療前後の比較
| 年齢/性別 | 20代女性 |
|---|---|
| 治療期間・回数 | 1日(通院1回) |
| 治療部位 | 左上1 |
| 治療費 | 保険適用 |
| リスクなど | ・切縁部のため、噛み合わせやくいしばりにより再び欠ける可能性がある。 |



