つめ物・かぶせ物(審美歯科)
このページの目次
- 1 見た目・長持ち・低侵襲にこだわった審美修復治療
- 2 治療患部や修復範囲に適した審美歯科修復を実施
- 3 つめ物・かぶせ物治療の注意点
- 4 審美性を追求するためのこだわりのポイント
- 5 精密なつめ物・かぶせ物の作成と長期維持を実現するための対策
- 6 人工ダイヤ・ジルコニアボンドによる審美修復治療の症例
- 7 ジルコニアインレーによる小さい虫歯の審美修復治療
- 8 つめ物・かぶせ物(審美歯科)についてよくある質問
- 8.1 保険適用と自由診療のつめ物・かぶせ物は何が違うのですか?
- 8.2 つめ物・かぶせ物が完成するまで歯のない期間はありますか?
- 8.3 つめ物・かぶせ物の治療後に注意することはありますか?
- 8.4 かぶせ物(クラウン)とブリッジは何が違うのですか?
- 8.5 セラミックのつめ物・かぶせ物はどれくらい耐久性がありますか?
- 8.6 歯と歯茎の間が黒ずんでいるのですが、治療した方が良いですか?
- 8.7 前歯が大きくて気になるのですが、セラミック治療で改善できますか?
- 8.8 すきっ歯の改善にはセラミック治療と矯正治療どちらが良いでしょうか?
- 8.9 つめ物(かぶせ物)を飲み込んでしまった場合はどうしたら良いですか?
- 9 かぶせ物・つめ物の料金
- 10 習志野市津田沼で長期維持をめざした審美歯科治療をご希望の方へ
見た目・長持ち・低侵襲にこだわった審美修復治療

徳壮会新津田沼歯科クリニックでは、笑った時に銀歯が気になる方や前歯の隙間、歯の変色でお悩みの方に、様々な素材や治療法で審美性の回復をご提案しております。見た目はもちろんですが、適切な咬み合わせやつめ物・かぶせ物の長持ちを目指し、さらに出来るだけ天然の歯を削らない低侵襲な審美歯科治療に努めております。当院が実施する審美歯科治療のこだわりをご紹介致します。
患者様のご希望やご予算を考慮した素材や治療法をご提案します
見た目・咬み合わせの修復で使用する素材・治療法には、保険適用のものから自費診療となるものまで幅広くご用意しております。患者様一人ひとりのご要望や体質、お口の状態を考慮して、適切な素材・治療法をご提案致します。
治療患部や修復範囲に適した審美歯科修復を実施
歯の欠損状態や治療する場所によって、適した素材やおすすめの治療方法は異なります。徳壮会新津田沼歯科クリニックが実施する代表的な審美修復法とその特徴をご紹介します。
クラウン

歯の欠損が多い場合の修復や歯質を広範囲に削り、歯の全体を覆うように人工の歯を被せる修復法がクラウン(被せ物)です。天然歯の色調に近いセラミックやジルコニアなどの白い素材をはじめ、ゴールドや金属の土台にセラミックを焼き付けたメタルボンドなどの素材があります。歯型を採取後、歯科技工士によって作製されるため、被せ物の完成までに多少時間がかかります。
インレー

歯の欠損部分が小さい場合には、インレー(つめ物)で歯を修復します。クラウン同様に、歯型の採取が必要となります。銀歯や金などの金属をはじめ、セラミックやハイブリッドセラミックなどの素材があります。咬み合わせ部分にインレーが当たる場合には、破損する場合があるため、場所によっては適用出来ないこともあります。当院では、レジンで修復が難しい場合にこちらの方法を検討致します。
前歯特化型の審美修復法ラミネートベニア

ラミネートベニアは、前歯の変色や隙間、歯の形などの審美回復に特化した方法です。薄く削った歯の表面にセラミックの板を貼り付けて、歯の色や形などを改善します。天然歯の色調に近いセラミックを使用するため、非常に仕上がりも自然な上、歯の切削も最小限に抑えられるのが特徴です。1本から前歯全部の審美修復も行うことが出来ます。
低侵襲な修復法レジン充填

歯科用の樹脂を用いて、歯の形状や色調を整える方法です。歯を削った患部に歯科用樹脂を直接流し込んで、形を形成するため、歯の削る量を最小限に留めることが出来ます。さらに、型取りなどの工程が必要ありませんので、その日の内に治療を終えることが可能です。経年劣化や変色等の問題はありますが、健康な歯を多く残せるおすすめの方法です。
セラミッククラウン・ラミネートベニアの治療の流れを動画で確認
▼こちらはメディカルネットさんが作成した「セラミッククラウン・ラミネートベニアの治療の流れ」についての動画です。分かりやすく解説されていますので、審美治療をご検討中の方は、ぜひ参考にされてください。
▼セラミッククラウン
▼ラミネートベニア
つめ物・かぶせ物治療の注意点
保険適用外の素材を使用の際は、費用が高額になる場合があります。また、咬み合わせの変化などにより、欠ける可能性がございます。出来るだけ天然歯に負担のない治療法をご提案致しますが、口腔内の状態によっては歯を多く削ることがございます。
※審美歯科治療をご検討の際には、各素材のメリット・デメリット・リスク等も全てお伝えし、十分な理解と同意を得た上で治療を実施致しますので、どうぞご安心ください。
審美性を追求するためのこだわりのポイント
徳壮会新津田沼歯科クリニックでは、より美しさを追求するためにいくつかのポイントにこだわって、審美歯科治療を行っております。
スマイルライン

笑った時に見える歯のラインが緩やかなアーチ状になるよう、自然できれいなスマイルラインを心がけています。
ゴールデンプロポーション

患者様一人ひとりの歯の幅や長さを、最も美しいとされる黄金比となるように調整をします。
エステティックライン

横顔の顔貌にもこだわり、エステティックライン(鼻先と顎を結んだライン)を意識しながら治療を行います。
精密なつめ物・かぶせ物の作成と長期維持を実現するための対策
精密なつめ物・かぶせ物の作成と長期維持を実現するための対策・取り組みについてご紹介いたします。
熟練の歯科技工士との連携

つめ物・被せ物の作製は、歯科技工士と呼ばれる職人が行うため、歯科技工士の技術がそのまま、技工物の精度に直結することになります。徳壮会新津田沼歯科クリニックでは、知識・経験を兼ね備えた信頼の厚い歯科技工士さんと蜜に連携を図り、精度の高いつめ物・被せ物のご提供に努めております。
拡大視野による初期治療

精度の高いつめ物・かぶせ物を装着しても、土台となる歯の治療がしっかり行われてなければ、長持ちは出来ません。そのため当院では、土台となる歯の初期治療にマイクロスコープや歯科拡大鏡を用いた精度の高い処置に努め、再発リスクを最小限に抑えております。
歯肉圧排で精度の高い印象採得

より精巧な被せ物の型を採取するためには、歯茎に覆われた歯の際まで型取りする必要があります。そのため、当院では圧排糸を使用して、土台の歯の周りにある歯肉を一時的に剥離させる「歯肉圧排」を行い、歯肉縁下までしっかりと歯型の採取を実施しております。
診断用ワックスアップによる治療法の選定

患者様の口腔内を模型で再現し、治療患部の最終的な歯の形状をはじめ、お口の問題点を見極めます。その結果を基に、適切な素材・治療法の選定、治療計画の立案を致します。口腔内の診断を3次元的に行い、リスクを最小限に抑えた治療に努めております。
口腔内3Dスキャナーを駆使した精密な歯型の採取
徳壮会新津田沼歯科クリニックでは、口腔内3Dスキャナー「3Shape TRIOS4」を使用し、つめ物・かぶせ物の製作に必要な歯型の採取を行っております。
つめ物やかぶせ物を製作する際は、一般的にアルジネートと呼ばれるガムのような材料を使用して型取りを行います。
しかし、アルジネートは型ズレが起こりやすく、さらに材料が固まるまでお口の中に入れておかなければならないため、嘔吐反射が強い患者さまは「オエッ」となってしまうこともあります。
しかし、口腔内3Dスキャナーは機器に搭載されたカメラで口腔内を撮影するだけで型ズレのない精密な歯型を採取することができます。
つめ物・かぶせ物の精度の向上はもちろん、小さなお子様や嘔吐反射が強い方も不快な思いをせずに快適な型取りが可能です。
※3Shape TRIOS4で採取した口腔内データでは、レントゲンや肉眼で確認が難しい虫歯部分の色が変わって表示されるため、見落とし防止や早期治療に繋がります。
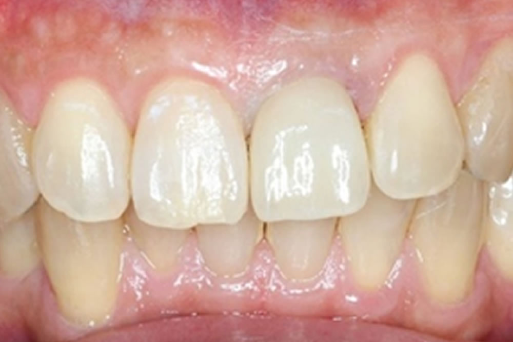
人工ダイヤ・ジルコニアボンドによる審美修復治療の症例
こちらの方は、以前から当院に受診されていた方です。今回は、前歯の見た目が気になるということで、相談を受け審美性の改善を目的として治療を希望されました。
治療前の口腔内の状態
以前に治療されたのは、レジン前装冠という保険適用のかぶせ物でした。金属のフレームに見える部分だけレジン(歯科用のプラスティック)で覆う構造です。
レジンは経年変化が起きやすい性質があり、今回も長く使うことで見た目が気になるようになりました。コロナで常時マスクをしている頃はとは違い、現在は人前で話すときに審美的な面で不安があったとのことです。
治療方針
前装冠の表面が経年劣化により変色していること、かぶせ物の内部の土台がメタルコア(金属の土台)のため、透明感のあるかぶせ物をすると中の金属の色が透ける可能性がある点を考慮する必要があります。
患者さまのご希望としては、見た目が自然であること、治療中も歯がない状態を作りたくない、しっかりと固定され、外れにくいクラウン(かぶせ物)にしたいとのことでしたので、治療の選択肢としては、次の2つの治療方法が考えられました。
土台(メタルコア)を残し、かぶせ物のみを交換する
メリットとしては費用や治療回数を抑えられますが、デメリットとしては色が透ける可能性があり、審美的な仕上がりが難しくなります。
土台(コア)から交換し、審美性を高める治療
金属製のメタルコアをファイバーコア(繊維強化樹脂)に置き換え、かぶせ物も透明感のセラミック製にする。メリットとしては、グラスファイバーのコアは、強度もあり適度なしなりもあり、歯の硬さと近似していることから、周囲の組織を守り身体にも優しい治療が可能です。
白色のため、ジルコニアボンド(ジルコニアフレームにセラミックを築盛したもの)と組み合わせることで自然な仕上がりになります。今回は、こちらの治療を選ばれました。
①既存の前装冠を除去し、メタルコアを撤去
透明感のあるかぶせ物をしても金属色が透けてしまうため、今回は撤去を選択しました。
②ファイバーコアを築造し、支台歯形成
ファイバーコアを使用することで、歯に優しく、自然な色合いを維持できます。
③ シェードテイキング(色味のチェック)
④ かぶせ物(ジルコニアボンド)の装着
治療後の患者さまの感想と今後のメンテナンス
患者さまからは、「仕上がりが自然でとても満足しています」との感想を頂き、担当歯科医師、スタッフ一同大変喜ばしく、自信を持っておススメできる審美治療を選ばれて良かったと思います。
今後は、定期メンテナンスを利用し、噛み合わせの調整と経過観察を継続していくことになります。口腔内が清潔な状態を維持できるような専門のクリーニングも欠かせません。
かぶせ物は、どこまで精度高く治療してても人工物です。自分の歯に生え変わった訳ではありませんので、ご自身のリスク部位を考えたお手入れがとても重要になります。当院では、患者さまと歯科医師、歯科衛生士がタッグを組んで予後の管理を一緒に行って参ります。
患者さまの状態やご希望に合わせたて適切な治療を提案し、一緒に治療方法を考えて頂くようにしています。見た目や機能面で気になることがございましたら、お気軽にご相談ください。
| 年齢/性別 | 50代男性 |
|---|---|
| 治療期間・回数 | 3ヵ月(4回) |
| 治療部位 | 左上1 ジルコニアボンド補綴修復 |
| 治療費 | 143,000円(税込) |
| リスクなど | ・ジルコニアは歯科材料の中で最も硬い素材ですが、強い衝撃を受けると欠けるリスクがあります。 |
ジルコニアインレーによる小さい虫歯の審美修復治療
こちらは「白くて目立たないつめ物で治したい」そんなご希望に応えた、ジルコニアインレーによる奥歯の治療症例です。
来院時のお口の状態
患者さまは「奥歯のつめ物が欠けてしまった」とのことで来院されました。
診察したところ、つめ物(インレー)の一部が割れており、その下の歯質にも虫歯(二次カリエス)が再発していました。
このように、既存のつめ物の下で再び虫歯ができてしまうことは少なくありません。特に金属のつめ物は、年月とともに歯とつめ物の間にすき間ができ、そこから細菌が入り込んで虫歯が進行してしまうことがあります。
患者さまの希望
「できるだけ自然な見た目に仕上げたい」「金属ではなく、白い素材でつめ直したい」とのご要望がありました。
特に笑った時に奥歯が少し見えるため、目立たない素材をご希望されていました。
治療方針
当初、患者さまはセラミック製のつめ物を希望されていました。セラミックは見た目が自然で、前歯の審美治療などにも多く使用される素材です。
しかし、今回の治療部位である右上6番は、食事の際に強く噛む力がかかる「臼歯(きゅうし)」と呼ばれる奥歯でした。また、患者さまには歯を強くくいしばる癖(ブラキシズム)も見られました。
そこで、より強度に優れたジルコニアインレーをご提案しました。ジルコニアは、人工ダイヤモンドとしても知られる非常に硬い素材で、歯科用素材の中でも上位の強度を誇ります。
そのため、噛みしめによる割れや欠けを防ぐのに適しています。また、白く透明感があるため、見た目の自然さも十分に確保できます。
さらに今回は、「インレー(部分的なつめ物)」という形式で歯の一部を修復しました。クラウンのように歯全体を覆うのではなく、虫歯や欠けた部分だけを補う方法で、歯へのダメージを最小限に抑えることができます。
(来院1回目)虫歯治療の実施
1回目の来院で虫歯の除去と型取りを行い、仮づめで処置しました。
(来院2回目)ジルコニアインレーの装着・治療完了
2回目の来院で完成したジルコニアインレーを装着。かみ合わせの調整や装着後の状態を確認し、治療は終了しました。
今後の予定
治療後、患者さまからは「自然な見た目でとても満足しています」とのご感想をいただきました。従来の金属のつめ物ではどうしても銀色が目立ってしまい、人によっては気になる場合がありますが、ジルコニアならまるで自分の歯のような仕上がりになります。
今後も、定期的なメンテナンスを継続していく予定です。つめ物はあくまで人工物のため、どれだけ精密に作っても経年による変化が起こることがあります。お口全体の健康を守るためにも、歯科医師・歯科衛生士と連携しながら継続的にチェックを行っていくことが大切です。
気になる歯の見た目や、以前治療したつめ物・かぶせ物の劣化が気になる方は、どうぞお気軽にご相談ください。患者さま一人ひとりのご希望に合わせて、見た目・機能性ともにご満足いただける治療法をご提案いたします。
| 年齢/性別 | 40代女性 |
|---|---|
| 治療期間・回数 | 1ヵ月(2回) |
| 治療部位 | 右上6 ジルコニアインレー補綴修復 |
| 治療費 | 59,4000円(税込) |
| リスクなど | ・治療では歯を削る処置があるため、術後に一時的にしみることがあります。 ・ジルコニアは非常に硬い素材ですが、強い衝撃が加わると欠ける(破折する)リスクがあります。 |
つめ物・かぶせ物(審美歯科)についてよくある質問
保険適用と自由診療のつめ物・かぶせ物は何が違うのですか?
つめ物・かぶせ物の素材や工程などが違います。近年では保険適用の白い素材などもありますが、自費診療のセラミックはより天然歯に近く、経年による変色などもないため、美しさを長期的に維持していただけます。
つめ物・かぶせ物が完成するまで歯のない期間はありますか?
審美治療で歯を削ったり、元々装着していた補綴物を取り除いた場合は、最終的なつめ物・かぶせ物が完成するまで仮歯を入れます。見た目はもちろん、機能面も日常の生活に支障はほとんどありません。
つめ物・かぶせ物の治療後に注意することはありますか?
つめ物・かぶせ物の治療後は、接着剤がしっかりと固まるまで30分~1時間程かかります。その間は飲食をしないようにしましょう。また、粘着性の高いキャラメルやガムなどの食べ物はつめ物・かぶせ物が外れてしまう可能性がありますので、食べる際は気をつけましょう。
かぶせ物(クラウン)とブリッジは何が違うのですか?
かぶせ物(クラウン)は、虫歯などで歯質の大部分を失った歯にセラミックや銀歯などの人工歯を装着して歯の形態を修復する方法です。一方、ブリッジは歯のない部分の両端の歯に連結したかぶせ物を装着し、歯の機能を回復する治療法です。
セラミックのつめ物・かぶせ物はどれくらい耐久性がありますか?
セラミックは天然歯に近い質感、色調が特徴の素材です。経年による変色や変形もないため、土台の歯の虫歯が再発したり、咬み合わせの問題による破損・脱離などがなければ、半永久的にお使いいただくことができます。セルフケアと定期的なメンテナンスをきちんと行い、良い状態を維持しましょう。
歯と歯茎の間が黒ずんでいるのですが、治療した方が良いですか?
虫歯や歯周病などになっていない場合は、そのままにしていても基本的には問題ありません。銀歯などの金属を用いたかぶせ物は、経年によって金属イオンが溶け出すため、歯茎が黒ずんでしまいます。そのため、見た目が気になるという場合や金属アレルギーが疑われる場合には、金属を使用しないセラミックでの再治療をおすすめします。
前歯が大きくて気になるのですが、セラミック治療で改善できますか?
セラミック治療では、気になる前歯の大きさや形状を改善することが可能です。しかし、健康な歯を多く削ったり、場合によっては神経を取り除いたりする可能性があります。素材や治療法については、メリットだけでなくリスクやデメリットもお伝えし、患者さまとしっかり相談して決定します。
すきっ歯の改善にはセラミック治療と矯正治療どちらが良いでしょうか?
患者さまのお口の状態やご要望によって、人それぞれおすすめの治療法は異なります。できるだけ歯を削りたくないという場合は矯正治療、治療期間をできるだけ短くしたいのであればセラミック治療を検討致します。矯正治療については、歯並びの状態によって部分矯正で済むこともあれば、全顎矯正が必要となる場合があります。それぞれの治療法について詳しくご紹介致しますので、ぜひ一度ご相談ください。
つめ物(かぶせ物)を飲み込んでしまった場合はどうしたら良いですか?
治療で入れたつめ物(かぶせ物)が外れ、誤って飲み込んでしまうこともあると思いますが、通常、数日の間に便と一緒に体外へ排出されますので特に心配することはありません。しかし、極稀に問題が起こる場合もありますので、再治療の際に担当の歯科医師に相談してみましょう。
かぶせ物・つめ物の料金
※下記すべて税込となります。また治療期間、回数はあくまで目安で症状により変動します。
かぶせ物
(目安治療期間:1~2ヶ月 治療回数:2~4回)
| ラミネートベニア | 88,000円 |
| オールセラミック(ハイクオリティー) | 143,000円 |
| オールセラミック(スタンダード) | 121,000円 |
| メタルセラミック(ハイクオリティー) | 154,000円 |
| メタルセラミック(スタンダード) | 88,000円 |
| 白金加金 | 176,000円 |
| ゴールド(高カラット) | 154,000円 |
| ゴールド(低カラット) | 121,000円 |
| 仮歯(1本) | 3,300円 |
| 前装冠 | 44,000円 |
| 金属冠 | 38,500円 |
つめ物
(目安治療期間:0.5~2ヶ月 治療回数:2~4回)
| ジルコニア | 55,000円 |
| セラミック | 49,500円 |
| ハイブリッド | 38,500円 |
| 白金加金 | 99,000円 |
| ゴールド(高カラット) | 88,000円 |
| ゴールド(低カラット) | 44,000円 |
コア(支台)
| ファイバーコア | 11,000円 |
習志野市津田沼で長期維持をめざした審美歯科治療をご希望の方へ

徳壮会新津田沼歯科クリニックでは、見た目はもちろんですが、患者様の天然歯を出来るだけ削らない低侵襲な処置をベースに、快適な咀嚼や長期維持にこだわったつめ物・かぶせ物治療に努めております。習志野市津田沼で、一つひとつの工程にこだわった精度の高い審美歯科治療をご希望の方はぜひ、当院までお気軽にご相談下さい。












