【確認】セラミックインレーによる審美修復治療の症例
このページの目次
セラミックインレーによる審美修復治療の症例
こちらの患者さまは、久しぶりに検診でご来院いただいた際、左上の奥歯2本に虫歯が見つかりました。
治療についてご説明したところ、「できるだけ歯を残したい」「見た目にも自然な方法で治したい」とのご希望があり、当院での治療を選ばれました。
来院時のお口の状態
左上の奥歯2本に比較的大きな虫歯が確認されました。見た目では分かりにくい状態でしたが、レントゲン検査により虫歯が歯の内部まで進行していることが分かりました。
患者さんのご希望
「これまで金属の詰め物は入れたことがなく、今後も口の中に金属を入れたくない」「白くて自然な見た目の詰め物にしたい」というご希望がありました。
虫歯部分の除去
歯は外側から①エナメル質、②象牙質、③歯髄(神経)の三層構造になっています。
今回の虫歯は神経にかなり近い位置まで進行していたため、すぐに詰め物を入れるのではなく、神経を守るための薬(水酸化カルシウム製剤)を使用し、症状が出ないか様子を見る期間を設けました。
この期間中に強い痛みなどが出た場合は、神経を取る治療(抜髄)が必要になる可能性もあります。しかし、今回は症状が現れなかったため、神経を残したまま詰め物で治療を行うことができました。
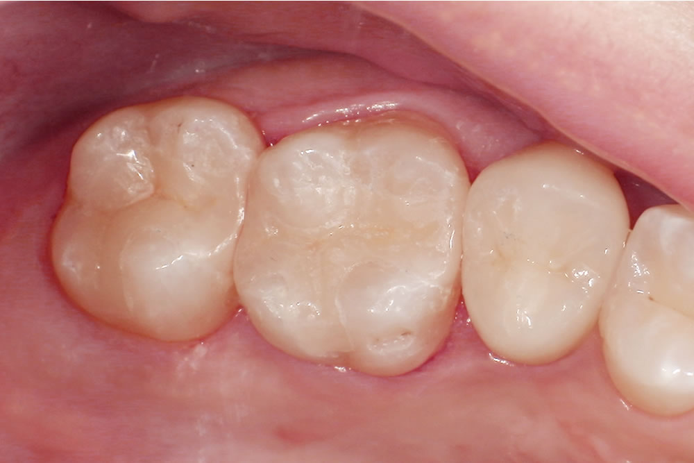
セラミック(e-max)インレーの装着・治療完了
詰め物には、透明感があり、ご自身の歯に近い色調を再現できるセラミック(e-max)を使用しました。
セラミックは見た目が自然なだけでなく、表面がなめらかで汚れが付きにくく、再び虫歯になるリスクを抑えられる点も特徴です。
治療後の感想
「どこを治したのか分からないくらい自然」と、仕上がりに大変ご満足いただけました。今後も定期的なメンテナンスを通して、詰め物とご自身の歯を長く守っていく予定です。
| 年齢/性別 | 30代女性 |
|---|---|
| 治療期間・回数 | 約3ヵ月(通院3回) |
| 治療部位 | 左上6・7(左上の奥歯2本) |
| 治療費 | ・セラミックインレー(詰め物)49,500円(税込) ・型取り代 4,400円(税込) |
| リスクなど | ・治療後に一時的にしみることがあります。 ・強い衝撃で詰め物が欠ける可能性があります。 |





