入れ歯・義歯
このページの目次
徳壮会新津田沼歯科クリニックこだわりの入れ歯治療

徳壮会新津田沼歯科クリニックでは、患者様一人ひとりに納得のいく入れ歯の製作に努めております。そのため多種多様な素材をはじめ、適合性を高めるための工程や熟練の歯科技工士との連携など細部にこだわった入れ歯治療に取り組んでおります。以下では、当院がこだわっている入れ歯治療の特徴をご紹介致します。
多種多様な入れ歯の製作に対応しております
患者様の理想の入れ歯を作製するため、多種多様な入れ歯素材を幅広く取り揃えています。それぞれ特徴が異なりますので、ご要望を基に口腔内の状態を考慮し、適切な素材、治療法をご提案致します。
審美性の高いノンクラスプデンチャー

ノンクラスプデンチャーは、一般的な部分入れ歯の固定に用いられる金属のバネ(クラスプ)を使用せず、歯肉に近い色の樹脂で固定する審美性に配慮した作りになっています。入れ歯を使用していることが気付かれにくい上に、アレルギーの方にも安心してお使いいただけるのが特徴です。
安定性・審美性の高いコンティース

コンティースはノンクラスプデンチャーを進化版でブリッジのような安定感と入れ歯の手軽さを兼ね備えた部分入れ歯です。3Dレーザープリンターによって加工したチタンを入れ歯の内側に用いることによって、耐久性を維持しながら入れ歯の厚みや幅を小さくできるため、違和感が感じにくい設計となっています。金属は表側から見えにくいため、審美性も高いです。
弾力のあるシリコンデンチャー

粘膜と接する面に、弾力のある生体用シリコーンを使用した入れ歯です。咀嚼時の痛みや負担が緩和され、しっかりと噛むことが出来ます。さらに吸着力も向上し、入れ歯が安定するため、外れたり、ズレたりすることがほとんどなく、快適にご使用いただけます。
アタッチメントデンチャー

残存する歯に特殊な連結装置を付与したかぶせ物を装着し、入れ歯側に組み込んだ連結装置と繋ぐことによって入れ歯を固定します。安定性が高く、金属のバネも使用しないため、目立ちません。
薄くて耐久性の高い金属床デンチャー

金属床デンチャーは、入れ歯の土台部分(床)に生体親和性の高い金属を使用した入れ歯です。金属を使用することによって、強度を保ったまま薄く作製することが出来るため、装着時の違和感を軽減することが可能です。さらに、金属は熱の伝導率が高いため、飲食物の温度を感じながら、食事をしていただけます。
インプラントで固定する入れ歯

顎骨に埋めたインプラントを支柱にして、固定するのがインプラントオーバーデンチャーです。インプラントによってしっかり固定されているため、外れたり、ズレたりする事がほとんどなく、高い安定性を得ることができます。取り外しも簡単ですので、お手入れも楽に行えます。
お口の歪みを治す暫間義歯

合わない入れ歯を長期間使用されていた方は、顎骨の位置や咬み合わせがずれているため、新しい入れ歯を作製する前に暫間義歯と呼ばれる治療用の入れ歯もご用意しております。暫間義歯を装着して、顎骨や咬み合わせを正常化することでお口に適した入れ歯の作製が可能となります。
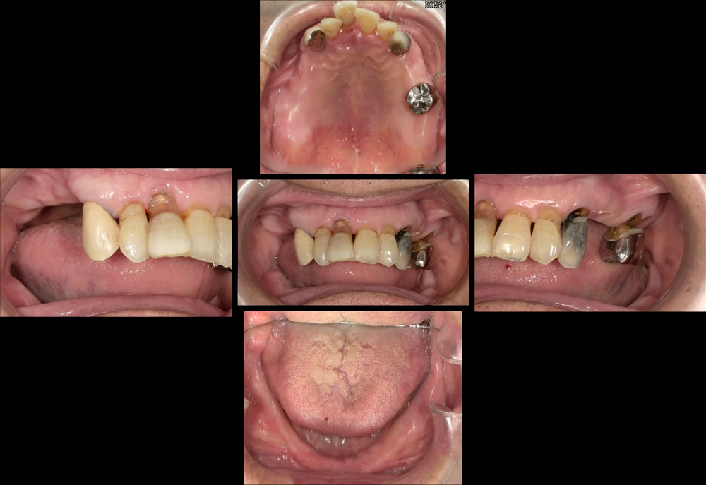
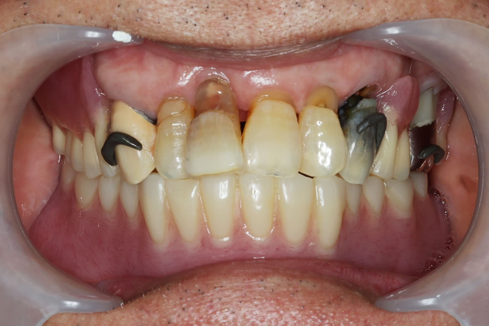
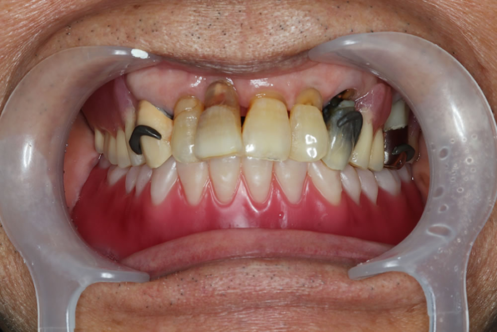
コピーデンチャーを用いて下顎総義歯を作り変えた症例
こちらの患者さまは、他院で総義歯を作製したものの「噛めない」「外れやすい」という状態が続き、入れ歯の作り直しを希望され来院されました。特に下顎の義歯が安定せず、日常生活にも支障が出ていたとのことです。
初診時のお口の状態
診察したところ、下顎の顎堤吸収(入れ歯を支える歯槽骨が痩せてしまう状態)が進行し、顎の骨の高さが全体的に低くなっていました。このような顎堤の形態では、通常の総義歯は吸着が得られにくく、義歯の安定が非常に難しい症例となります。
患者さまの希望
- よく噛める入れ歯を作りたい
- 食事中に外れにくいものを使いたい
- 今より安定した義歯にしたい
という強いご希望をお持ちでした。
治療方針・治療計画のポイント
当院では、現在お使いの総義歯がある場合、 「コピーデンチャー」と呼ばれる方法で新しい義歯を作製しています。
コピーデンチャーは、既存義歯の形態をそのまま複製し、素材を変えてもう一つの義歯を作ることで、細かな調整がしやすく、最終義歯の完成度が高まる利点があります。
コピーデンチャーの主な目的
- 既存義歯の形態・咬合を活かしつつ、改善点を正確に把握できる
- 辺縁(周囲の長さ)の調整が容易
- 内面の吸着状態をシリコーン印象材で精密に再現できる
- 最終義歯の完成度を高められる
コピーデンチャー(コピー義歯)の作製
現在使用中の義歯を基に、新しい素材で複製義歯を作成。お口の動きに対して、どの部分が不足しているか丁寧に確認します。
辺縁の盛り足し・形態調整
辺縁が短いと吸着が弱くなるため、必要に応じて材料を盛り足し、舌や頬の動きに合わせた“外れにくい形”へ調整します。
内面の精密印象(シリコーン印象)
咬合採得(噛み合わせの記録)
人工歯の配列・試適
最終義歯の完成(Set)
新調した入れ歯と既存の入れ歯との比較
治療後の患者さまの感想
| 年齢/性別 | 80代男性 |
|---|---|
| 治療期間・回数 | 約2ヵ月(通院6回) |
| 治療部位 | 義歯形式: 下顎総義歯(コピーデンチャーによる新製義歯) |
| 治療費 | 保険適用 ※コピーデンチャー作製費:16,500円(税込) |
| リスクなど | ・装着直後は痛みや違和感が生じることがある ・咬合(噛み合わせ)の微調整が必要になる場合がある ・顎堤(あごの骨)の吸収量によっては、義歯の安定に限界が生じることがある |
精巧な入れ歯を製作するための徳壮会新津田沼歯科クリニックのこだわり

お口の形や咀嚼時の癖などは患者様によって異なるため、一人ひとりのお口に適した精巧な入れ歯を製作するためには、正確な情報とそれらを形にする確かな技術が必要となります。以下では入れ歯の精度向上のために当院がこだわっているポイントをご紹介します。
日本顎咬合学会認定医による咬合調整

入れ歯の機能性を高めるために、咬み合わせのプロである日本顎咬合学会認定医による咬合調整を実施。咀嚼時や会話など様々な状態を考慮し、適切な咬み合わせに調整します。
熟練の歯科技工士との連携

精度の高い入れ歯を作るためには、情報を基に実際に入れ歯を作る歯科技工士の能力が重要になります。当院では、技術・知識・経験を兼ね備えた熟練の歯科技工士と蜜に連携を取ることで、精度の高い入れ歯の作製に努めております。
個人トレーで正確な筋圧形成

患者様一人ひとりのお口の動き・癖などを記録する筋圧形成を行う際には、より精密な情報を得るために患者様ごとに専用のトレーを作製致します。
シリコンによる精密印象

精度の高い入れ歯作製には、正確な情報が必要となります。そのため、型ずれが起きにくいシリコン素材を用いて、精密な歯型の採取を実施します。
入れ歯を快適な状態で長くお使いいただくためのポイント
入れ歯を良い状態で長くお使いただくためのポイントについてご紹介します。
入れ歯完成後の調整

入れ歯完成後は、実際にお口に装着していただき、使用感を確認しながら最終的な調整をします。痛みや違和感を感じる場合、自分で削ったりせず、必ず歯科医院で調整してもらいましょう。
毎日の洗浄

汚れや食べかすが残らないよう、隅々までしっかりと磨きます。傷つけないよう、水に浸してから、優しいブラッシングを心がけましょう。
適切な保管

就寝時は、入れ歯を外してお口と入れ歯を休ませます。就寝時は、乾燥による変形を防ぐため、水に浸して保管しましょう。
定期的なメンテナンス

入れ歯は日々の使用により、大きな負担がかかります。定期的なメンテナンスを受け、お口と入れ歯を良い状態で維持しましょう。
しっかり噛んで食事をする

唾液の分泌を促したり、骨の吸収やお口周辺の筋力低下を防ぐため、食事の際はしっかり噛むことを意識しましょう。
丁寧な入れ歯の着脱

入れ歯を着脱は入れ歯の変形やケガを防止するため、ゆっくり丁寧に行いましょう。
入れ歯で食事をする際に注意するポイント

入れ歯で食事をする際は、ストレスを感じたり、お口の中を傷つけたりしないためにも下記のことに注意しましょう。
具材のサイズ
具材は一つひとつ小さめにし、食べやすいようにしましょう。具材は薄くしすぎると、かえって噛みづらくなるため、適切な厚さにすることをおすすめします。また、みじん切りのように具材を細かくしすぎると、飲み込みづらかったり、入れ歯と粘膜の隙間に挟まったりするため、注意しましょう。
食べ物の固さ
軟らかすぎるもの・固すぎるものはしっかりと噛むことが難しいです。総入れ歯の場合は、固いものを食べた際に入れ歯が外れたり、粘膜を傷つけたりする可能性があるため、注意しましょう。熱を通して、食べやすい固さにすることをおすすめします。
温度
一般的な総入れ歯は、口蓋(上顎の天井)部分が厚く温度を感じにくいため、熱いものを口にした際にやけどをする可能性があります。体感温度に差があることも考慮し、飲食物の温度に気をつけましょう。
入れ歯治療の注意点
入れ歯治療は使用する素材や製作工程により、保険適用外となりますので治療費が高額になります。また、入れ歯は日々の使用や経年により、少しずつ劣化します。そのため、調整などで適切な咬み合わせが得られない場合には、新しい入れ歯の作製が必要になる場合もございます。出来るだけ、長く使用できるよう、アフターケアやメンテナンス、日々のお手入れをしっかり行いましょう。
入れ歯(義歯)についてよくある質問
寝る時は入れ歯を外した方が良いですか?
日中入れ歯を使用していることで歯茎(粘膜)に負担がかかっています。そのため、就寝前には入れ歯を外し、歯茎を休ませましょう。特に小さな部分入れ歯は、寝ている最中に誤って飲み込んでしまう可能性がありますので、注意しましょう。入れ歯は乾燥すると変形しますので、水や洗浄剤に浸して保管しましょう。
入れ歯にすると食べ物の味が変わりますか?
食べ物の味は香りや舌触り、食感や温度など様々な要素が関係するため、入れ歯に慣れず違和感を強く感じる間は、味が変わったように思うことがあるかもしれません。食事を美味しくいただくためには、熱伝導が高く、違和感の少ない薄型の入れ歯がおすすめです。
入れ歯だと会話がしづらくなりますか?
初めて入れ歯をお使いいただく方、または新調した入れ歯を使用される際は、多少なりとも違和感を感じます。入れ歯の形状やサイズによりますが、発音がしづらくなったり、滑舌がうまくできなくなったりすることもあります。入れ歯に慣れることで、少しずつ緩和されます。
入れ歯をすると老けて見えないでしょうか?
多くの方が入れ歯を入れると、顔が老けてしまうのでは?という不安があるようです。しかし、実際は入れ歯をしないままでいる方がしわが増えたり、顔が歪んだりするため、老けた印象を与えてしまいます。お口に合った入れ歯を使用し、きちんと噛んだりすることによって、お口周辺の筋肉が維持され、若々しい状態を保つことができます。
保険の入れ歯と自費で作成する入れ歯は何が違うのですか?
保険で作製可能な入れ歯は、入れ歯の素材や製作工程が限定されているため、審美性・着用感などを追求することが困難です。一方、自費の入れ歯は患者さまのご要望に合わせて自由に素材を選べ、こだわった方法で製作することができるため、より精度の高い入れ歯を作ることができます。
入れ歯は少しずつ合わなくなるものなんでしょうか?
歯や歯茎、お口周辺の筋肉などは日々変化していきます。一方、入れ歯は人工物ですので生体に合わせて変化はしません。そのため、使っていくうちに少しずつ合わなくなってしまいます。良い状態を保つためには、歯科医院にて定期的に調整を行うことが大切です。
入れ歯の清掃は通常の歯ブラシで良いのでしょうか?
入れ歯の汚れを取り除くことができれば、通常の歯ブラシを使用されても特に問題はありません。ただ入れ歯専用の歯ブラシもあり、固くてサイズも大きく、より効率的に汚れを取り除けるため、おすすめです。
入れ歯を入れたくないのですが、歯がない状態でも大丈夫ですか?
前歯以外の歯は目立たないこともあり、そのままで放置されている方も多いように感じます。しかし、歯を長期間抜けた状態にしておくと、少しずつ歯が移動して歯並びや咬み合わせが悪くなり、咬み合わせが元に戻らない「咬合崩壊」の状態になってしまいます。咬合崩壊の状態になると、治療が困難となったり、行えた場合であっても時間と費用がかかってしまうため、できるだけ早めの治療をおすすめします。症状によっては、入れ歯以外の治療法などもご提案可能ですので、ぜひ一度ご相談ください。
他医院で製作した入れ歯でも調整や修理はできますか?
もちろん、対応させていただきます。入れ歯の状態やお口の状態をしっかりと確認し、適切な処置をご提案いたします。また、入れ歯の劣化が著しい場合には、入れ歯の新調をおすすめすることもあります。
習志野市津田沼でお口に合った入れ歯を作製したい方へ

徳壮会新津田沼歯科クリニックでは、患者様のご要望・口腔内に適した入れ歯を作製するため、多種多様な素材をご用意し、精度を高めるための工程一つひとつにこだわっております。習志野市津田沼にて、お口に合った入れ歯をご希望の方はぜひ、当院までお気軽にご相談下さい。











